
Implant & Periodontics
At Carlmont Dental Care, our experienced specialists are proficient in handling a wide range of dental implant issues and advanced gum problems. Through the utilization of advanced surgical techniques and state-of-the-art computer-guided treatment planning, we guarantee high-quality care that consistently delivers exceptional results.
Expert care with precision
Computer guided precision implant surgery
Experience precision and effectiveness with our computer-guided dental implant surgery. By harnessing cutting-edge technology, we offer a modern approach that ensures accuracy and optimal placement for dental implants. Our advanced computer-guided system allows for meticulous treatment planning, leading to successful outcomes and enhanced patient satisfaction. Discover the future of dental implant surgery with our state-of-the-art technology and expert care.

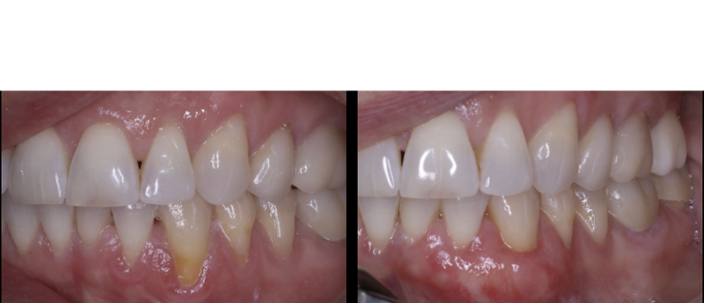
Gum Graft for recession


Ultimate regeneration
Undergo gum graft surgery with confidence at our practice.
This procedure, also known as gingival grafting, involves the replacement or enhancement of gum tissue to address gum recession and improve oral health.
Our experienced specialists employ advanced techniques to restore gum health, enhance aesthetics, and protect tooth roots. With a focus on minimally invasive and patient comfort, we ensure successful gum grafting procedures that promote healthier gums and a more radiant smile.

Osseous Surgery
restore gum & bone health
Experience comprehensive periodontal osseous surgery at our practice, a procedure aimed at treating advanced gum disease and restoring periodontal health.
This treatment involves accessing the roots of the teeth to remove tartar and plaque from deep periodontal pockets and regenerate or recontour irregularity in bone and tissue surrounding the teeth.
Our skilled periodontists utilize advanced techniques and state-of-the-art technology to meticulously clean, reshape and regenerate the bone around the teeth, promoting healing and preventing further damage.
Trust in our expertise for effective periodontal osseous surgery that revitalizes your oral health and preserves your beautiful smile.













Carlmont Dental Care